Cosa è la chirurgia mucogengivale

Per chirugia mucogengivale intendiamo tutte quelle tecniche chirurgiche in grado di ottenere la ricopertura totale e/o parziale della porzione della radice del dente che è andata incontro a recessione (abbassamento) dei tessuti molli (gengiva) che prima la ricoprivano.
Le cause ed i fattori che predispongono e possono portare un paziente alle recessioni (abbassamento) gengivali sono diverse:
il primo fattore predisponente è senza dubbio il biotipo gengivale (tipo costituzionale, aspetti tipici di un individuo, es occhi azzurri..) e la qualità di attacco parodontale.
Andando nel dettaglio, per biotipo intendiamo lo spessore della gengiva che sta attorno al dente, se questo è spesso resisterà meglio all’infiammazione dovuta dalla placca batterica e da eventuali traumi (es. spazzolamento) se invece è sottile tenderà maggiormente a ritirarsi, quindi in questo caso parliamo più di fattori predisponenti, che portano alla recessione che di vere e proprie cause (tipo chi ha la tendenza ad ingrassare per intenderci).
Ma la buona notizia è che anche su questo, come vedremo continuando la lettura, possiamo intervenire.
Le cause invece sono:
• La placca batterica
• Il trauma da spazzolamento
I meccanismi causati dalla placca e dal trauma, molte volte lavorando in sinergia (insieme), sono essenzialmente due: i batteri presenti nella placca producono delle tossine che determinano la distruzione delle fibre che uniscono la gengiva alla radice del dente portando osso e gengiva ad abbassarsi, a velocizzare il tutto un uso scorretto dello spazzolino può portare all’ abrasione del tessuto (gengiva) ulcerato velocizzando il processo di recessione (le gengive si abbassano ancora più rapidamente).
Anche su questi fattori possiamo intervenire preventivamente (quindi prima che le recessioni si formino) con delle sedute di igiene dentale professionale, eseguite dai nostri igienisti specializzati nella cura delle gengive delicate, rimuovendo la placca e dando suggerimenti su come spazzolare i denti.
Ma quando la recessione è già avvenuta l’ unica alternativa è un intervento di chirurgia mucogengivale per riportare la gengiva all’ altezza originaria.
A volte sarà vantaggioso prendere un piccolo pezzettino di gengiva dal palato per poter inspessire il biotipo (ne avevamo parlato all’ inizio se ricordi), per aumentare la predicibilità (riuscita) dell’ intervento.
Prima di mostrarti una foto che meglio spiega cosa è una recessione e come curarla (chirurgia mucogengivale) ti voglio dare un'altra chicca: sapevi che anche l’ ortodonzia (apparecchietto dei denti) può essere un alleato od un nemico nella cura delle recessioni?
Si è cosi perché altri due fattori predisponenti che portano alle recessioni sono:
• La prominenza radicolare (denti che sporgono)
• Le malposizione dentarie (denti non allineati)
Quindi l’ ortodonzia diventa un potente alleato quando è in grado di posizionare il dente in maniera favorevole alla chirurgia mucogengivale (raddrizzandolo) oppure può portare (se gestita in modo non coretto) insieme alle cause di cui abbiamo parlato prima, alla recessione della gengiva.
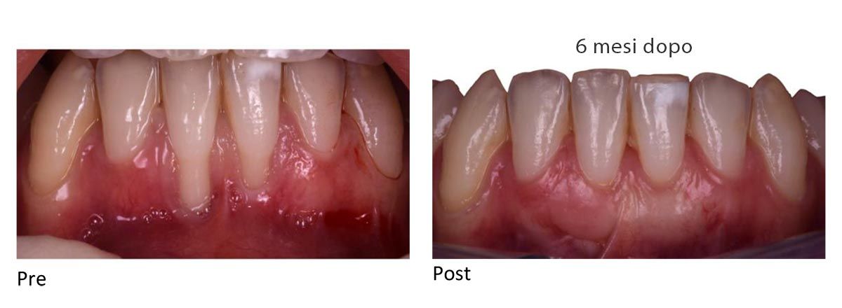
Ora ti mostro un prima-dopo di una profonda recessione su un incisivo inferiore, vediamo se indovini le cause… ti do un indizio: la giovane paziente aveva avuto l’ apparecchietto ai denti prima di rivolgersi al nostro studio (orto-perio).