Approccio Mucogengivale all’impianto nei settori posteriori

Se ti è capitato di perdere un dente avrai notato che la gengiva e l’osso vanno incontro ad un processo che in medicina viene descritto come rimodellamento osseo post estrattivo, dovuto principalmente alla perdita dell’elemento dentale.
Quando viene estratto un dente la porzione dell’osso esterna chiamata in inglese “bundle bone”, il sottilissimo strato di osso vestibolare definito osso di legamento che è intimamente collegato al legamento parodontale dell'elemento dentario da estrarre, va inesorabilmente incontro a riassorbimento: in poche parole scompare!
Questo processo di rimodellamento osseo è conosciuto da anni ormai, almeno una ventina, dai dentisti.
Ti riporto, se sei curioso, uno degli articoli più famosi a riguardo: “Araújo MG, Lindhe J. Dimensional ridge alterations following tooth extraction. An experimental study in the dog. J Clin Periodontol. 2005 Feb;32(2):212-8. doi: 10.1111/j.1600-051X.2005.00642.x. PMID: 15691354.”
La buona notizia è che oltre alle consuete tecniche di aumento osseo, qualora dovesse rendersi necessario aumentare anche l’osso, esiste l’approccio mucogengivale orientato all’incremento dei tessuti molli che circondano l’impianto: viene gestita la gengiva aumentandone la quantità e la qualità creando un vantaggio per il paziente non solo estetico, ma anche funzionale.
In cosa consiste quindi l’approccio mucogengivale all’implantologia?
Molto semplicemente consiste nell’inspessire la gengiva durante l’inserimento implantare: quindi un solo intervento con un piccolo pezzetto di tessuto connettivale prelevato dalla gengiva che si trova appena superiormente i molari superiori dal lato palatino.
È un prelievo di dimensioni molto ridotte in spessore, ne basta un millimetro, e come lunghezza appena uno o due denti, ma che porta enormi vantaggi all’impianto.
Esistono delle alternative sintetiche, ma ad oggi, come dimostrano degli studi che sono revisioni sistematiche e meta-analisi, gli innesti autologhi sono più efficaci delle matrici di collagene nell’aumentare lo spessore dei tessuti molli.
Un altro vantaggio di un approccio mucogengivale è il fatto che col tempo la gengiva migliora e tende ad adattarsi sempre meglio alla corona supportata dall’impianto: questo non ha solo una valenza estetica, ma anche e soprattutto funzionale facendo lavorare l’impianto in modo naturale come un dente.
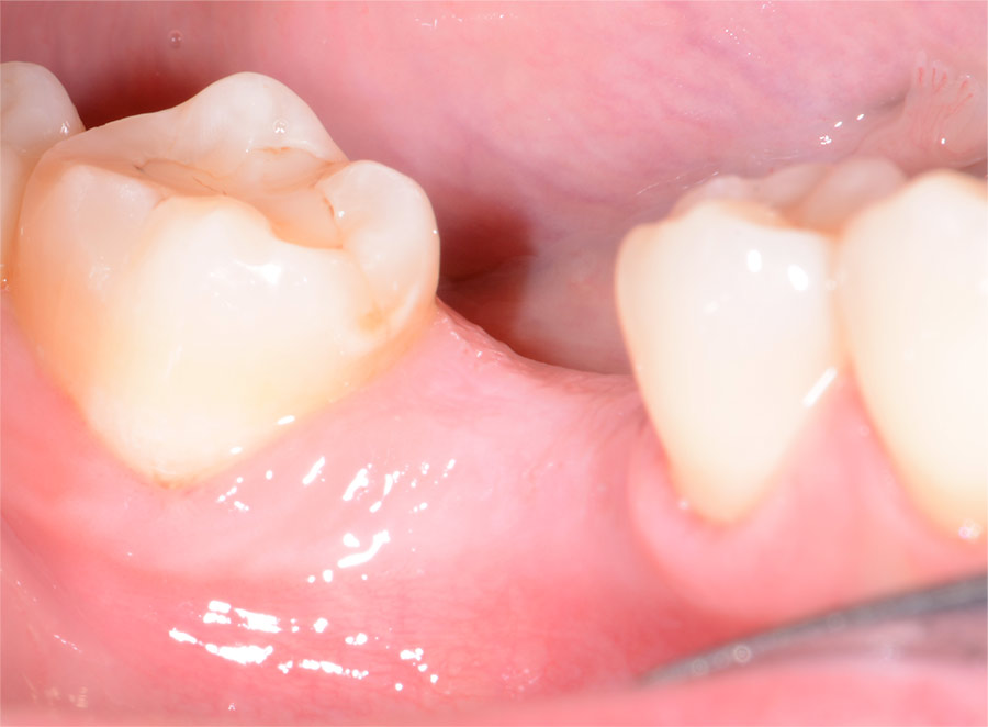
Mancanza di osso e gengiva
Connettivo suturato all’interno del lembo
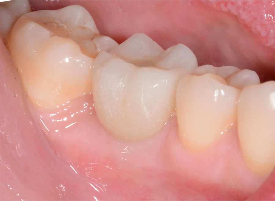
Corona del dente posizionata
Controllo a 4 anni (si nota un miglioramento ed adattamento perfetto della gengiva)